5 Real Medical Stories That Are Pure Skin-Crawling Horror
Over the last couple of years, we've carved out a pretty exciting niche in warning people about medical problems that read like horror movie scripts. We'd love to stop, but we can't. Maybe it's some sort of horrible disease? Maybe compulsively sharing these stories is one of the early symptoms of some horrible medical uppercut? If that's the case, then please grant us one last wish: Carry our disease for us.
A Baby Went Through Puberty
In 2007, a pediatrician from Alabama described the real-life medical mystery of a 16-month-old boy who, despite his tender age, had already experienced puberty. When the boy was six months old, his mother noticed that he was starting to develop hair around his gentleman's (gentlebaby's?) area, which not only became progressively darker over the next year, but also coincided with him developing an abnormally large penis (for a baby) and starting to have erections.
The boy wasn't in the throes of any genetic disorder, and his parents weren't adult movie stars. Pediatrician Samar K. Bhowmick was stumped. With nothing to go on, he decided to goof off for a few hours with his best friend, until they said something tangential which made Samar stare into the middle distance and suddenly storm from the room. One pointed, insulting line of questioning later, and the boy's father revealed that before bed, he'd regularly slather himself with testosterone cream ... and then have some skin-to-skin cuddles with his son. Cute? Yes. Medically inadvisable? Definitely. The skin-to-skin contact meant that the boy was inadvertently receiving a dose of testosterone, which triggered his changes.
Don't Miss
After dispensing a prescription for one large men's bedshirt, the boy returned to normal. It's hoped that he won't suffer any long-term consequences from his temporary embiggening (particularly when he enters for-realsies puberty), although Bhowmick does point out that the easy availability of testosterone cream means that this might be happening on a scale larger than we'd like to think. So if you've recently gotten your ass kicked by a particularly surly baby, you've got a solid excuse.
Related: You'll Never Look At Your Body The Same Way Again
A Man OD'd On Dick Drugs And Permanently Dyed His Vision Red
According to a 2018 report in the medical journal Retinal Cases, a 31-year-old man accidentally (and permanently) screwed up his eyes after overmedicating on liquid sildenafil citrate, a drug commonly used to treat erectile dysfunction. Even when taken in the correct doses, patients can suffer temporary vision problems, like blurring, an increased sensitivity to light, or even a complete change in their color palette.
Which suddenly puts those unexplained blue Viagra ads in a sinister new light.
Within hours, our hero began experiencing the above problems. He checked himself into a hospital two days later and was diagnosed with a massive overdose of sildenafil -- so much that he'd managed to damage his eye on a microscopic level. Most of his symptoms eventually subsided, but as of writing, his vision is still tinged red. We bet his dick looked amazing, though.
Related: 6 Creepy Things That Happen To The Human Body (When You Die)
Your Toes Can Spontaneously Fall Off
In the darkest depths of medical literature, there's a condition known as "ainhum" or "dactylolysis spontanea," wherein people's toes auto-amputate themselves for absolutely no reason at all. There's no cure, there's no cause (that anyone can identify), and no relief, unless sufferers save themselves the agony and take a cleaver to the damn thing before nature does.
The condition -- which primarily affects people living in West Africa, South America, and India (although cases have been reported in Europe), starts out as a small band of hard tissue that forms around the base of the pinkie toe. Over time, the band gets tighter and tighter, until the pressure becomes so immense that it snaps the toe bone like a twig. It doesn't stop tightening until the only thing linking the now-dead toe and the foot is a small sinew of muscle and skin ... which doesn't tend to last for very long.

This process doesn't take place over a few weeks, either. In most cases, it lasts for an entire year, and it can even strike two toes simultaneously. Sure changes the stakes of "This Little Piggy," doesn't it?
Related: 6 Freaky Things Your Body Does (Explained By Science)
A Woman's Eyelid Grew Bones
In 2009, a cosmetic surgeon in LA was approached by a woman who had recently undergone a radical new treatment in which stem cells were injected into the area of her face surrounding the eyes, all in the service of reducing signs of aging. The surgery had gone well, but soon enough, she couldn't open her right eye without considerable amounts of pain and a weird clicking sound coming from her face. His interest piqued, the surgeon opened her up, and after six hours of digging around, began pulling bits of bone from inside her right eyelid.
As it turns out, that "radical" procedure came with an unspoken side effect. The stem cells that had been injected into her face were designed to grow into fresh new lemon-scented tissue. During the surgery, however, she'd also received an injection that contained quantities of calcium hydroxylapatite, a mineral that in certain circumstances can "reprogram" stem cells to turn into bone. That clicking noise she heard every time she opened her eye? That was the bones that'd grown in her eyelid grinding against one another.
The surgeon was able to remove the bones, but there's no getting around the fact that her face is now a ticking time bomb that could one day turn to bone again -- a thought that, ironically, is probably making her age faster than ever.
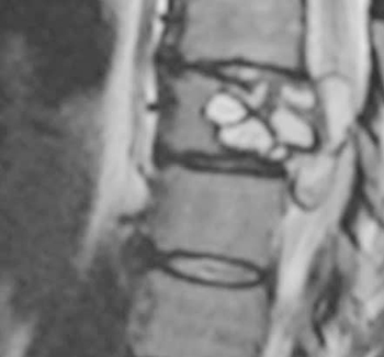
A Tapeworm Egg Embedded Itself In A Woman's Spine
A few years ago, a woman in her mid-20s suddenly found herself unable to walk. She'd stand up, only for her muscles to give out and drop her to the floor. She was also doubled over in pain, suffering an electric sensation running through her back. She eventually visited her local hospital, and one MRI later, she had a diagnosis. Her spine was infected with tapeworm larvae.
As far as anyone call tell, the patient (somehow) accidentally ingested the egg of a tapeworm species that usually only infects dogs and farmyard animals, whereupon it rode her bloodstream like a red river rapids ride until it eventually lodged in her vertebrae. There, the egg hatched and developed into a cyst. The muscular weakness? The electrical shocks? Those were all caused by the cyst and its tapeworm occupants bumping and wiggling and hacking their way to her central nervous system, which ran clear through that vertebrae.


The cyst was surgically removed, and following a healthy dose of antiparasitic medicine, the patient was eventually free of tapeworms. As the doctors pointed out, however, this situation isn't that uncommon, and the only reason these tapeworms were detected was that they landed in a place where the alarm bells were particularly loud. Does ... does anyone else feel a little itchy?
You can find more from Adam on Twitter! He also has a newsletter about depressing history facts. (It's not as sad it sounds, promise.)
For more, check out What Your Doctor Wants To Tell You, But Can't (From A Medical Physician):
Also, we'd love to know more about you and your interesting lives, dear readers. If you spend your days doing cool stuff, drop us a line at iDoCoolStuff at Cracked dot com, and maybe we can share your story with the entire internet.
Follow us on Facebook. If you like jokes and stuff.